Dentiste Bastia 20200 CABINET DENTAIRE DU CENTRE : DRS PAVERANI
Chirurgiens-dentistes à BASTIA
Accueil
Le cabinet
Plan d'accès
Cas cliniques
Vidéos
Fiches Conseils
Questionnaire pré-RDV
Dentiste Bastia 20200 CABINET DENTAIRE DU CENTRE : DRS PAVERANI
Chirurgiens-dentistes à BASTIA
27 boulevard Paoli
20200
Bastia
+33 4 95 31 02 76
Accueil
Le cabinet
Plan d'accès
Cas cliniques
Vidéos
Fiches Conseils
Questionnaire pré-RDV
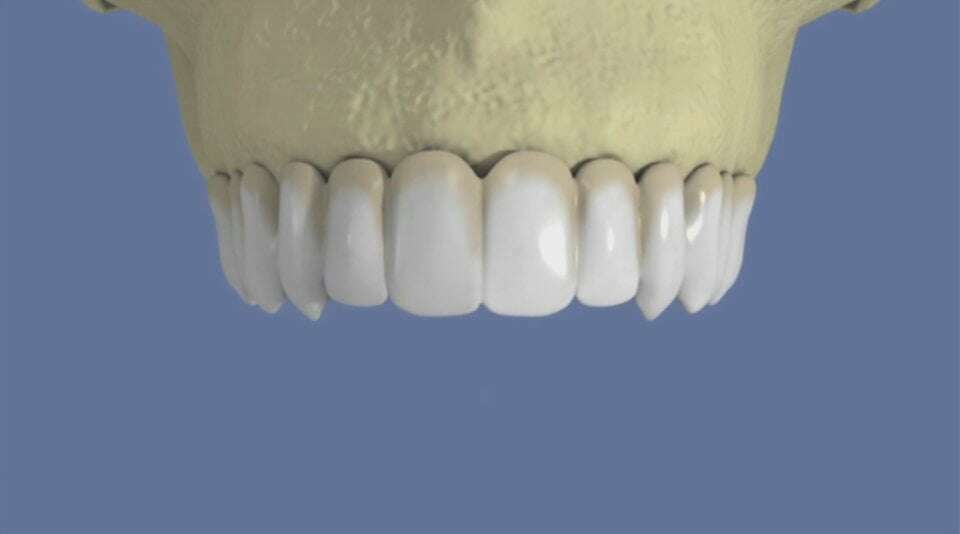
Maxillaire : bridge vissé sans fausse gencive
Vidéos 3D
Partager
Twitter
Partager
Partager
Envoyer
Copier
Dentiste Bastia 20200 CABINET DENTAIRE DU CENTRE : DRS PAVERANI
27 boulevard Paoli
20200
Bastia
+33 4 95 31 02 76
En savoir +
Conditions Générales Utilisation
Mentions légales
Politique de confidentialité et charte cookie
Charte déontologique
Ordre national
Annuaires chirurgiens dentistes
Nous trouver
Recherche
Rechercher dans le blog Blog
Création par
Connexion
Vidéo en cours de lecture