Dentiste Bastia 20200 CABINET DENTAIRE DU CENTRE : DRS PAVERANI
Chirurgiens-dentistes à BASTIA
Dentiste Bastia 20200 CABINET DENTAIRE DU CENTRE : DRS PAVERANI
Chirurgiens-dentistes à BASTIA

27 boulevard Paoli
20200 Bastia

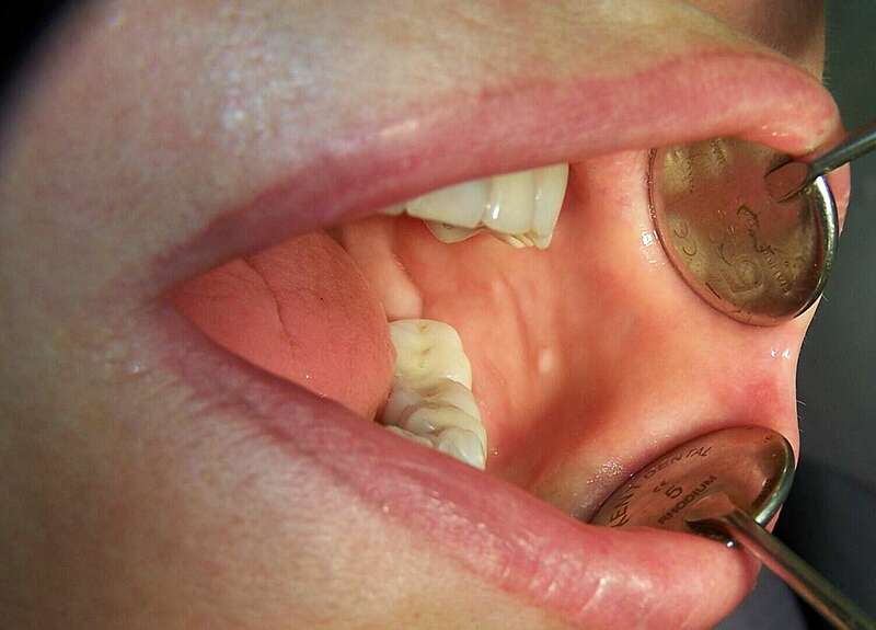
Laser


Avant
Après

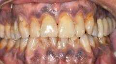
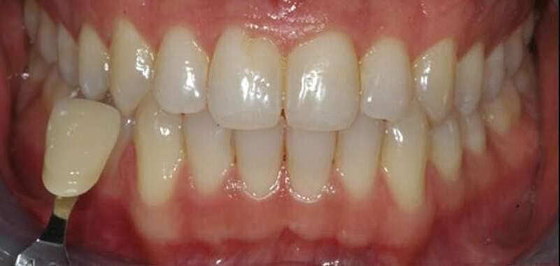
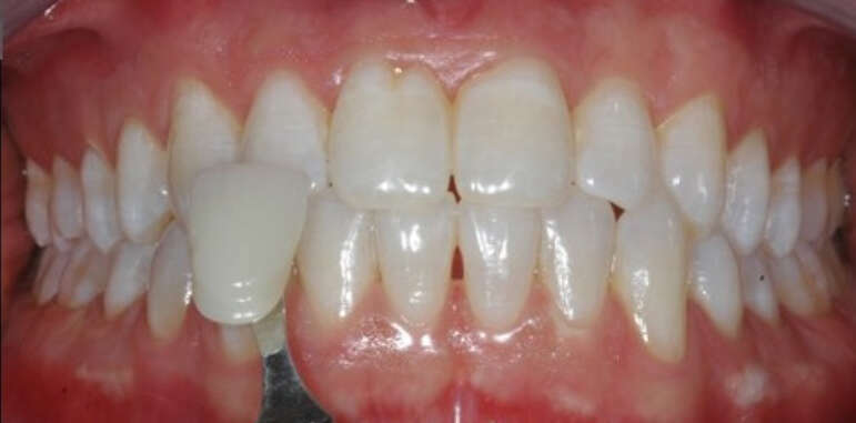
Blanchiment

Avant
Après

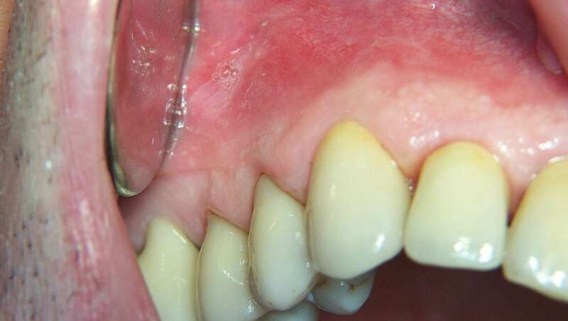
Dépigmentation

Avant
Après

Fibrôme

Avant
Après

Fibrôme

Avant
Après

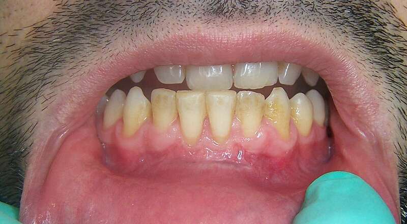
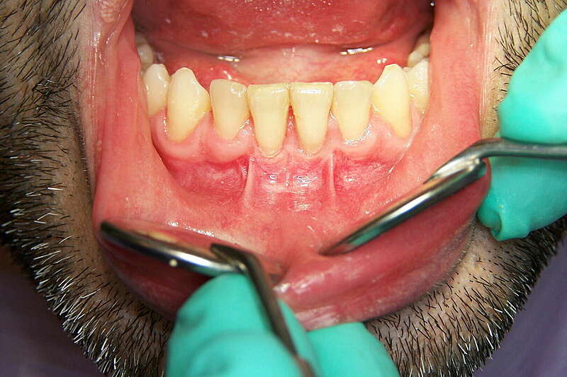
Freinectomie

Avant
Après

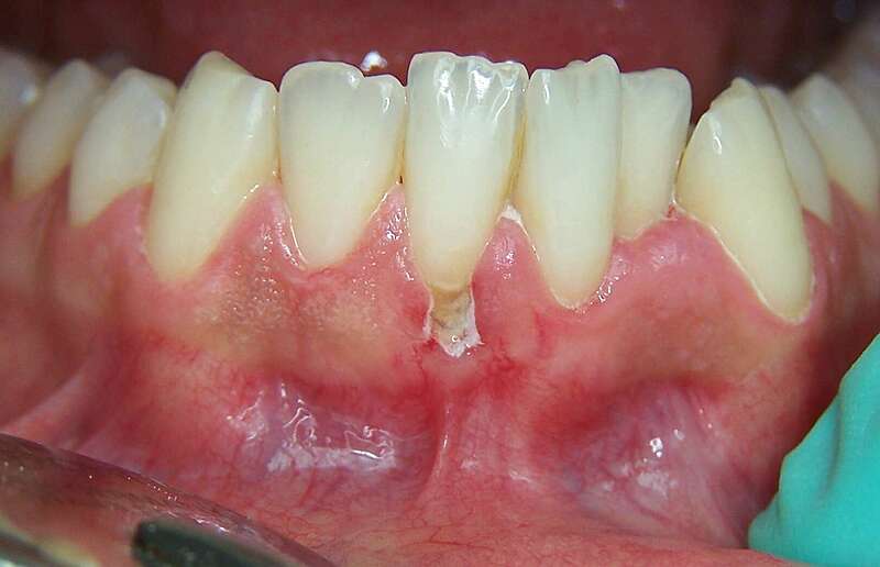
Greffe

Avant
Après

Hémangiome

Avant
Après

Hémangiome facettes

Avant
Après

Herpès

Avant
Après

Tâche de vieillesse

Création par Webdentiste

Connexion