Dentiste Bastia 20200 CABINET DENTAIRE DU CENTRE : DRS PAVERANI
Chirurgiens-dentistes à BASTIA
Dentiste Bastia 20200 CABINET DENTAIRE DU CENTRE : DRS PAVERANI
Chirurgiens-dentistes à BASTIA

27 boulevard Paoli
20200 Bastia

Esthétique dentaire


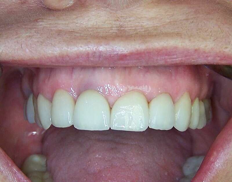
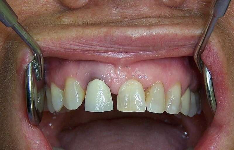
Facettes

Avant
Après

Facettes

Avant
Après

Facettes

Avant
Après

Facettes

Avant
Après

Facettes

Avant
Après

Création par Webdentiste

Connexion